
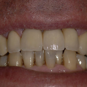
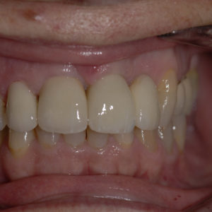
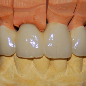
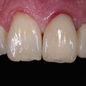
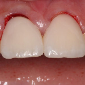
Prótesis Fijas
Se trata de un tipo de protesis dental sustituyendo deficiencias de dientes mediante colocacion de coronas o puentes sobre muñones naturales. Se puede realizar coronas, incrustaciones, carillas y puentes de dos hasta doce piezas.
Para realizar protesis fijas existe una variedad amplia de diferentes materiales como CrCo, Zirconio, Composite y Disilicato de Litio.













































