-
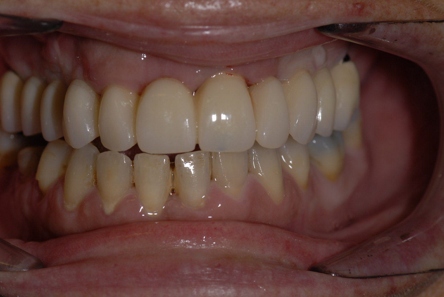
Dos incisivos empastados
Dos incisivos empastados para colocacion de coronas e-max, ahora con lascoranas recien colocadas
-
Dos incisivos empastados
Dos incisivos empastados para colocacion de coronas e-max, ahora con lascoranas recien colocadas
-
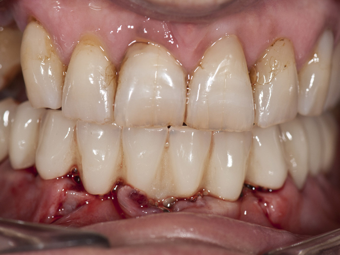
Corona e-max en 21
corona e-max recien colocada, estratificando la ceramica sin ver el paciente, solo con fotos como referencia
-
Dos incisivos empastados despues del tratamiento
Dos incisivos empastados para colocacion de coronas e-max, ahora con lascoranas recien colocadas
-
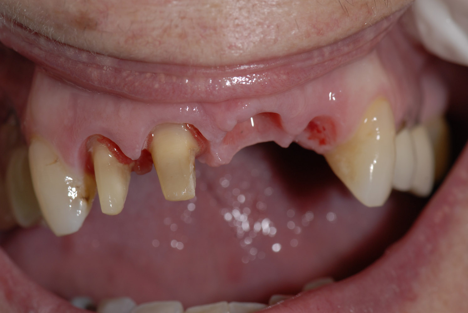
Dos incisivos empastados antes del tratamiento
Dos incisivos empastados para colocacion de coronas e-max
-
Coronas cergo ceram
Coronas de ceramica inyectada recien colocadas
-
Coronas individuales
Coronas individuales metalceramica en 15 y 16 sobre implantes Ankylos y corona desilicato de litio con e-max ceram en 13
-
Coronas individuales
Coronas individuales metalceramica en 15 y 16 sobre implantes Ankylos y corona desilicato de litio con e-max ceram en 13
-
Coronas individuales
Coronas individuales metalceramica en 15 y 16 sobre implantes Ankylos y corona desilicato de litio con e-max ceram en 13
-
Coronas individuales
Coronas individuales metalceramica en 15 y 16 sobre implantes Ankylos y corona desilicato de litio con e-max ceram en 13
-
DSC_0156
-
Puente zirconio
Puente de zirconio vestido con cercon ceram
-
Puente zirconio
Puente de zirconio vestido con cercon ceram
-
Coronas metalceramica con microfresado
Estructura de coronas individuales con microfresado lingual
-
Protesis telescopica superior
Protesis telescopica con calillas de composite sobre pilares de titanio fresado sobre implantes Ankylos
-
Protesis telescopica superior
Protesis telescopica con calillas de composite sobre pilares de titanio fresado sobre implantes Ankylos
-
Protesis telescopica superior
Protesis telescopica con calillas de composite sobre pilares de titanio fresado sobre implantes Ankylos
-
Protesis provisional para carga inmediata
Protesis provisional elaborada con dientes de tablilla y pilares de titanio
-
Protesis provisional para carga inmediata despues de colocacion de 4 implantes
Protesis provisional elaborada con dientes de tablilla y pilares de titanio
-
Protesis provisional para carga inmediata
Protesis provisional elaborada con dientes de tablilla y pilares de titanio
-
Carga inmediata inferior
Carga inmed. inferior despues de la cirugia
-
Protesis provisional para carga inmediata
Protesis provisional elaborada con dientes de tablilla y pilares de titanio
-
Inferior antes de extraccion para carga inmediata
Carga inmediata inferior situacion principal
-
Carga inmediata
Carga inmediata inferior situacion principal
-
DSC_0040
-
Coronas E-max
Coronas E-max monoliticas
-
Coronas E-max
Coronas E-max monoliticas
-
Coronas E-max
Coronas E-max monoliticas
-
Coronas E-max
Coronas E-max monoliticas
-
Puente zirconio dentosoportado
Puente de zirconio superior estratificada con cercon ceram
-
Carga inmediata inferior
Carga inmediata de 12 piezas inferior recien colocada
-
Coronas individuales
Coronas individuales metalceramica en 15 y 16 sobre implantes Ankylos y corona desilicato de litio con e-max ceram en 13
-
Puente zirconio dentosoportado
Puente de zirconio superior estratificada con cercon ceram
-
Hibrida Superior
Hibrida Superior vista lateral
-
Hibrida superior
Hibrida superior con dientes prefabricados sobre estructura fresada de titanio. Implantosoportada
-
Carga inmediata inferior
Carga inmediata de 12 piezas inferior recien colocada
-
Hibrida superior
Hibrida superior con dientes prefabricados sobre estructura fresada de titanio. Implantosoportada
-
Coronas dento e implantosoportado
Coronas de zirconio en 12 y 11, sobre implante en 21con extension en 22
-
Coronas dento e implantosoportado
Coronas de zirconio en 12 y 11, sobre implante en 21con extension en 22
-
Coronas dento y implantosoportadas
Coronas metal ceramica sobre muñones naturalesen 11 y 12, sobre implante en 21 y 22, vista lateral
-
Coronas dento y implantosoportadas
Coronas metal ceramica sobre muñones naturalesen 11 y 12, sobre implante en 21 y 22
-
Coronas dento y implantosoportadas
Coronas metal ceramica sobre muñones naturalesen 11 y 12, sobre implante en 21 y 22
-
Coronas dento y implantosoportado
Coronas de zirconio sobre muñones naturales y implante
-
Coronas dento y implantosoportado
Coronas de zirconio sobre muñones naturales y implante
-
Coronas dento y implantosoportado
Coronas de zirconio sobre muñones naturales y implante
-
Hibrida Superior e Inferior
Protesis implantosoportada tipo hibrida superior e inferior con dientes de tablilla
-
Hibrida Superior e Inferior
Protesis implantosoportada tipo hibrida superior e inferior con dientes de tablilla
